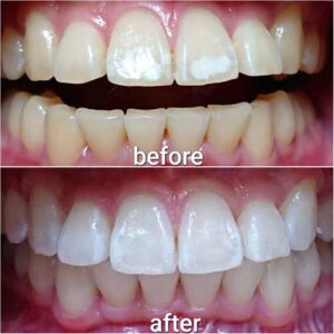
実際の症例 ダイレクトボンディング&デュアルホワイトニング
実際の症例をご紹介します
元々あった部分的な白変色(=ホワイトスポット)をダイレクトボンディングで治療後、デュアルホワイトニングで全体の色を明るくしました。
※アフターの写真で歯の周囲にまだら感が出てしまっていますが、これは時間経過と共に落ち着いて馴染んできます。
ダイレクトボンディング
■費用
¥25,000(歯の面積の50%以下)×2か所+診断料¥11,000 ※自由診療
■治療回数/内容
来院1回
デュアルホワイトニング
■費用
¥42,000(検診・施術含む)※自由診療
LINE初回クーポン利用価格です
■治療回数/内容
来院1回
カウンセリング後、オフィスホワイトニングは即日施術です。
その後自宅にてホームホワイトニングを10~14日間行います。
■副作用・リスク
痛みが出ることがあります。
その場合、痛み止めの処置、薬の処方は無料で行います。
ホワイトニングとダイレクトボンディングの施術の順序は、お客様のご要望と歯の状態によっても代わります。両方の施術をご希望の場合、まずは無料相談をご利用ください。
詳しくは
https://www.dental-care.jp/
#ホワイトニング札幌
#ビフォーアフター
#審美歯科札幌
#医療ホワイトニング
#歯科ホワイトニング
#笑顔