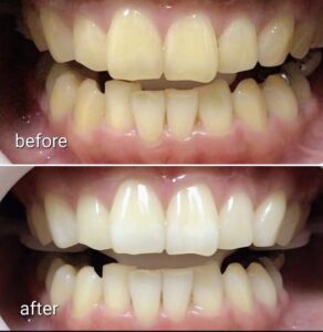
デュアルホワイトニング実際の症例

デュアルホワイトニング実際の症例をご紹介します。
セルフホワイトニングのご経験がある札幌市内在住30代女性のお客様です。
「もっとしっかりと効果を感じたい」と歯科医院の医療ホワイトニングを検討、当店をお選びくださいました。
白い歯をしっかり実感していただき 、その後は定期的なホームホワイトニングで白い歯をキープしていただいています🦷✨ありがとうございます。
【デュアルホワイトニング】
■費用
¥42,000(検診・施術含む)※自由診療
LINEクーポン(3,000円)利用価格
■治療回数/内容
来院1回
カウンセリング後、オフィスホワイトニングは即日施術です。その後自宅にてホームホワイトニングを10~14日間行います。
■副作用・リスク
痛みが出ることがあります。
その場合、痛み止めの処置、薬の処方は無料で行います。
詳しくは
https://www.dental-care.jp/whitening/types/
#ホワイトニング札幌
#ビフォーアフター
#ホワイトニングコーディネーター
#ホワイトニングサロン ではありません
#医療ホワイトニング