オフィスホワイトニング単発1回 症例紹介

実際の症例をご紹介します
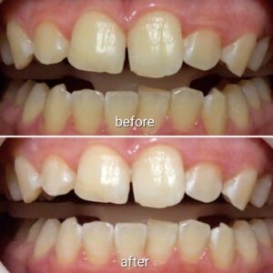
オフィスホワイトニングを一度受けていただいたお客様です。来店1回、30分の照射で、これだけ白さがUPしました🦷✨
※施術直後は、少しまだら感がありますが、徐々に馴染んできます。
オフィスホワイトニングは、カウンセリングを含め約1時間程度で終了します。
まずお試しでホワイトニングをしてみたい方
自宅でのケアが面倒な方
効果を早く実感されたい方
などに、おすすめの施術です。
オフィスホワイトニング
■費用
22000円(🔰LINE登録で19,000円に!)
お得な3回セット券48000円もございます
※価格は消費税/診断料など全て込み
■治療回数/内容
来院1回~
カウンセリング後、オフィスホワイトニングは即日施術です。
■副作用・リスク
痛みが出ることがあります。
その場合、痛み止めの処置、薬の処方は無料で行います。
詳しくは、https://www.dental-care.jp/
#札幌
#ホワイトニング札幌
#ビフォーアフター
#ホワイトニング
#審美歯科
#笑顔